BioSmart™ is an emerging clear-aligner brand built on globally proven material science and biomechanics principles. As we begin our clinical journey, we’re committed to transparency and credibility by sharing real-world outcomes and recognizing our technology partners and treating clinicians.
Our early results, supported by leading orthodontists, are powered by premium materials: Graphy’s shape-memory resin for direct-printed aligners, Scheu-Dental sheets, and Bay Materials’ Zendura™ for thermoforming. Delivered through BioSmart™ precision treatment protocols, these technologies are setting new benchmarks in India for predictable, comfortable, and efficient smile transformations.
Based on Graphy’s clinically validated shape memory resin offers longer lasting force, better adaptation, and fewer refinements.
Uses industry leading materials from Scheu and BayMaterials for crystal clear aesthetics and consistent force delivery.
Proprietary modeling engine for optimized tooth movement and outcome predictability.
As a new brand, we are committed to earning the trust of our orthodontic partners through scientific integrity and open collaboration. The clinical cases shown below include:
Ongoing BioSmart™ cases from early adopters across India (with consent)
Published Graphy case studies referenced with due credit to the original clinicians and journals
This gallery will grow as more BioSmart™ AlignMasters™ begin transforming smiles across India.
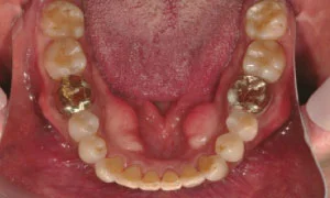
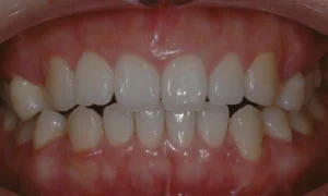
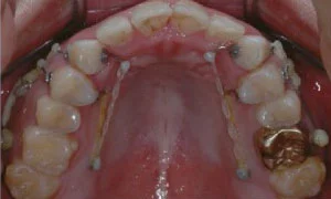
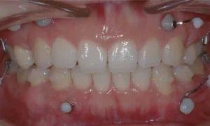
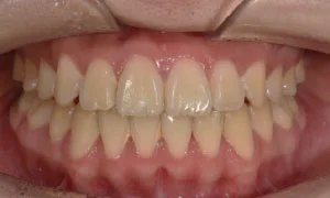
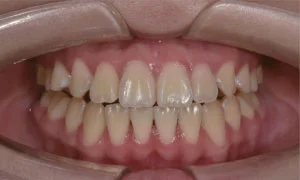
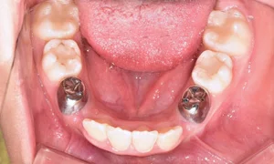
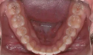
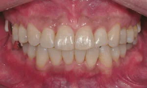
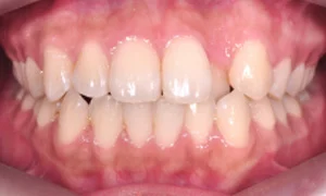
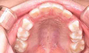
Direct-Print Aligners
Shape Memory Resins from Graphy
27 Weeks
11
Dr C Gwak
Age of the Patient: 22 Years and 5 months
Gender: Female
Initial Status
Latest Status
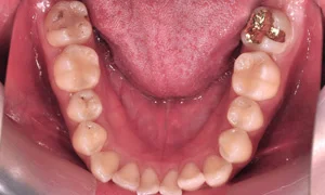
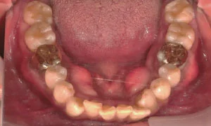
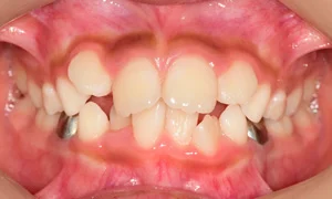
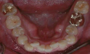
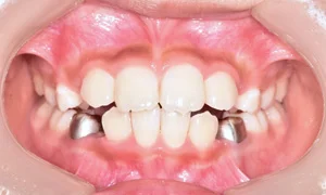
Direct-Print Aligners
Shape Memory Resins from Graphy
In progress
10
Dr YJ Joen
Age of the Patient: 7 Years and 7 months
Gender: Female
Initial Status
Latest Status
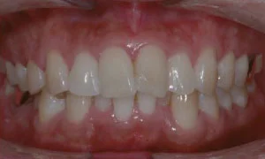
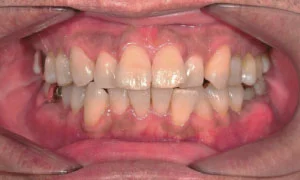
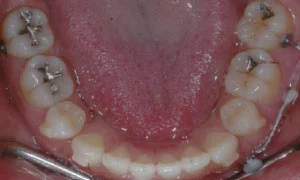
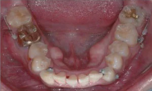
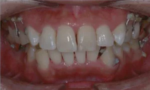
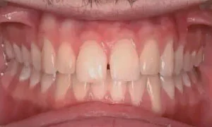
Direct-Print Aligners
Shape Memory Resins from Graphy
5 months
6
Dr Prof. KB Kim
Age of the Patient: 21 Years
Gender: Male
Initial Status
Latest Status
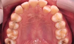
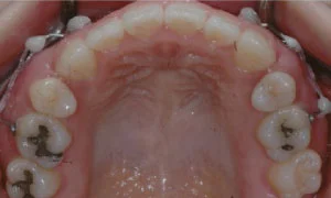
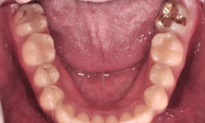
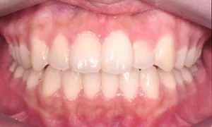
Direct-Print Aligners
Shape Memory Resins from Graphy
20 weeks
15
Dr H S Chae
Age of the Patient: 31 Years
Gender: Female
Initial Status
Latest Status
Direct-Print Aligners
Shape Memory Resins from Graphy
11 weeks
11
Dr. HJ Choi
Age of the Patient: 11 Years
Gender: Female
Initial Status
Latest Status
Direct-Print Aligners
Shape Memory Resins from Graphy
7 months
27
Dr. C. Gwack
Age of the Patient: 55 Years
Gender: Male
Initial Status
Latest Status
Direct-Print Aligners
Shape Memory Resins from Graphy
31 weeks
26
Dr H S Chae
Age of the Patient: 35 Years
Gender: Male
Initial Status
Latest Status
As BioSmart™ continues to grow, so will our clinical gallery built on real outcomes, trusted collaborations, and transparent reporting. Every aligner we manufacture reflects our mission to combine global innovation with expert-guided care tailored for India.